マウスピース矯正の活用について
2025年12月14日
千葉県市原市八幡宿駅前歯科医院、フローラデンタルクリニックの院長ブログです。
不定期ながら、歯科治療について投稿しております。
皆様のご参考になれば幸いです。
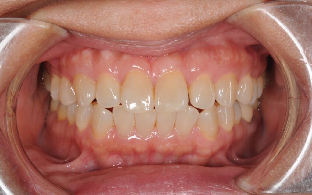
当院でも矯正治療を行っていますが、治療方法は個々に合わせた治療方法、内容となっております。
すべての歯が噛み、並んでいることが理想ですが、骨格的な問題から、すべての歯が当たるようにするには外科を必要とした矯正治療が理想となります。
しかし、患者さんからすれば、せめて前歯の並びだけでもきれいにならいのか?
外科は避けたい。
このような相談が多いのです。
そのようなご希望に対応できるのが、マウスピース矯正でもあります。
このような患者さん、前歯の並びだけでも綺麗にしたい、矯正の装置に抵抗がある、矯正治療の期間を1年にとどめたい。
個々のご都合に合わせた治療ができるようになります。
もちろん、理想の治療はありますが、当院ではカウンセリングを行っていますので、ご相談ください。
