ブログの一覧

来年度に向けて管理栄養士さんの募集をしております。


千葉県市原市八幡宿駅前歯科医院、フローラデンタルクリニックの院長ブログです。 只今、管理栄養士さん1名募集しております。 新卒、または卒後、...

歯科衛生士さん募集しております。


千葉県市原市八幡宿駅前歯科医院、フローラデンタルクリニックの院長ブログです。   当院のお知らせでも掲載していますが、ブログでも告...

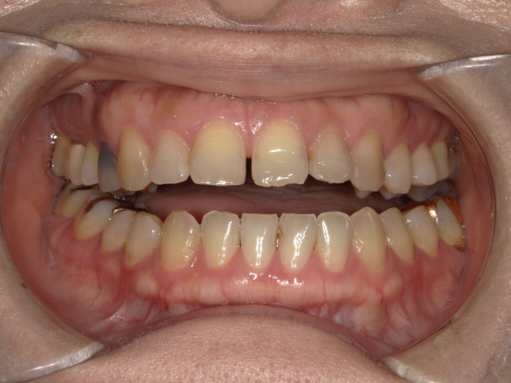
かみ合わせを改善する大切さ


千葉県市原市八幡宿駅前歯科医院、フローラデンタルクリニックの院長ブログです。 不定期ながら歯科医療について投稿しております。 <div...

職場選び、継続勤務できる環境の大切さ


千葉県市原市八幡宿駅前歯科医院、フローラデンタルクリニックの院長ブログです。 不定期ながら、投稿しております。 皆様のご参考になれば幸いです...

本来の歯周病の予防とは?


千葉県市原市八幡宿駅前歯科医院、フローラデンタルクリニックの院長ブログです。 不定期ながら歯科治療について投稿しております。 皆様のご参考に...

管理栄養士さんの職場選びの難しさとは?


千葉県市原市八幡宿駅前歯科医院、フローラデンタルクリニックの院長ブログです。 不定期ながら、歯科医療、治療について投稿しております。 近年、...

日々の予定において歯科治療の優先順位を上げることの重要性


千葉県市原市八幡宿駅前歯科医院、フローラデンタルクリニックの院長ブログです。 不定期ながら、歯科治療について投稿させていただいております。 ...

歯科検診の目的とは?


千葉県市原市八幡宿駅前歯科医院、フローラデンタルクリニックの院長ブログです。 <div dir="auto">...

歯石を取ることだけが予防ではありません。


千葉県市原市八幡宿駅前歯科医院、フローラデンタルクリニックの院長ブログです。 不定期ながら、歯科医療、治療について投稿しております。 皆様の...

前歯があたる大切さ


千葉県市原市八幡宿駅前歯科医院、フローラデンタルクリニックの院長ブログです。 <div dir="auto">...

WEB予約はこちら
初診の方限定です。
再診の方はお電話でご予約ください。
ページトップへ