
歯科検診の目的とは?
2025年10月19日
千葉県市原市八幡宿駅前歯科医院、フローラデンタルクリニックの院長ブログです。
不定期ながら歯科医療、治療について投稿しております。
皆様のご参考になれば幸いです。
歯科検診、歯周ケアを定期的に受診されている方も、最近では、増えてきました。
「何故、通うのか?」と聞かれれば大概の方々は
「虫歯にならないように、歯周病が進まないようにしたいです。」 と答えてくれます。
今まで、通っていた歯科医院を止め、新しい歯科医院に通う決断をした方々の理由を聞きますと
「検診に通っていたのに虫歯ができていて、ショックでした。」
「通っていたのですが、歯周病が進んできてしまって相談にきました。」
このような相談は多いのです。
このような相違の原因は、歯科医院側が、盲目的に通わせていることが一つの原因です。
虫歯にならないように、歯周病が進まないように、定期検診に来てくださいと進めていますが、歯石を取ることだけでしかしていません。
明らかに虫歯である歯を治療し、虫歯になりかけの歯は経過を見ていることも多くあります。
以前、詰めたもの、被せたもの、の劣化してくれば、再治療が望ましい時期も来ます。
歯周病に関しても、歯、歯茎に沿って、目に見える歯石を取ることは、最低限行う処置であり、歯周病の進行度合いにより、歯周治療の次のステップがあります。
車の車検は、車の洗浄だけでしょうか?
歯科検診が、歯石取りになっているのです。
ならば、当然、年に1回、または、通わなくなるのは当たり前と思われます。
歯科検診に、まじめに通われる方は、大概が、歯科治療が苦手な方です。
そのような患者さんの思いは、もう治療がないようにしたいことです。
予防には、早い段階で治療をすることも目的としているのです。
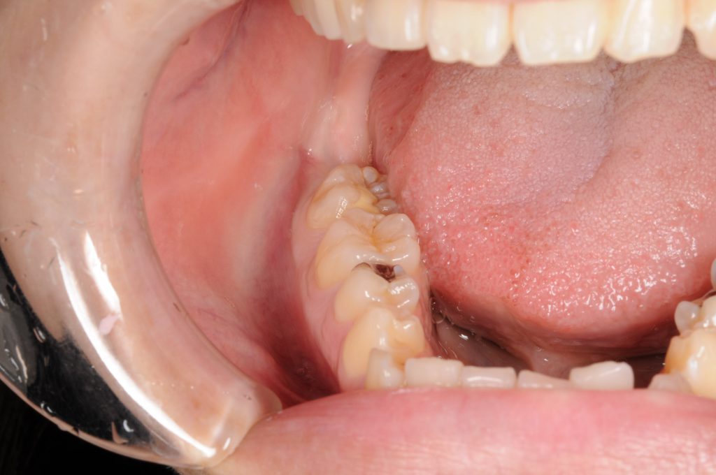
定期的に検診に行ってたのに、他院に受診したら虫歯が多いと言われたという経験をしている方は多くいます。
また、歯周病も検査をした場合、出血しやすい、進行していると言われることも多いのです。
そのような場合、盲目的に歯石を取っていることが多いのです。
歯科医院が、しなければならない取り組みは
一年に1回は、レントゲン、お口の中の写真、しっかり調べること
検診の目的を、患者さんに伝えること
必要な治療は、提案すること
このようなことが、大切なのです。
当院が、カウンセリングを重視しているのは、このような理由からなのです。