Introduction of the Director
私は、患者さんにとって「人生で最後の歯科医院」となりたいと願っています。
つまり、あなたの歯の健康を一生涯サポートし続ける覚悟があると言うことです。
歯科治療は技術職でもあり、診査、診断する医療の両面を持ち合わす仕事です。
そのため、歯科医師の腕だけでなく、診査、診断によって治療中の痛み、 治療後の歯の寿命、生活の快適さまで大きく左右されてしまいます。
当院ではできる限り痛みの少ない、また高度な治療を患者様にご提供できるように 日々技術向上に向けた研鑽を日々行っております。
また技術だけでなく、地域に愛される歯科医院さんを目指しています。
市原市にお住まいの方々がいつまでも気軽に、 安心して長く通院できる歯科医院になりたいと願っています。
どこの歯科医院に行っても悩みが解決しなかった方や、怖くて通えなかったという方まで、どんな小さなことでも気軽にご相談ください。
(※ システムの都合上、当院への来院が初めての方のみご利用可能です)
※診療時間中はこちらのほうがスムーズにご案内可能です
※予約不可の表記でも、お電話での問い合わせにより予約可能な場合があります。
| 月 | 火 | 水 | 木 | 金 | 土 | 日・祝 | |
|---|---|---|---|---|---|---|---|
| 午前 10:00-13:00 | 〇 | 〇 | - | 〇 | 〇 | 〇 | - |
| 午後 14:30-18:30 | 〇 | 〇 | - | 〇 | 〇 | ▲ | − |
▲土曜午後は17:00まで
※日曜日は、月一回のみ口腔外科、矯正、インプラントを実施します。

自由診療専門の医院、セオリツデンタルクリニック院長として
「自律神経のととのえかた」というテーマの中で、
生物学的見地からより深くお話をさせていただく機会をいただきましたので、
ぜひご参照ください。
Promises Three Relief

患者さまが安心して、治療が受けられるように、丁寧な説明を心がけています。また1人 1人に合った治療計画を立て、治療を進めていきます。

患者さまがどんなに歯を治したいと思っていても、治療が痛ければ続きません。 当院では出来る限り痛みの少ない治療を心がけております。

患者さまが安心して治療が受けられるように、院内感染予防・衛生管理を徹底しております。
私達が目指すのは「二度と悪くならない治療」です。虫歯や歯周病を繰り返さない。歯がボロボロになってしまった方でも「噛める」だけでなく生涯健康を維持できる。子供の頃から生涯歯に困らない歯列をつくる。前時代的な歯科治療を脱して最新技術を用い、本質的な健康の実現を目指します。

最適な噛み合わせの実現で生涯歯の悩みから解放される、米国式の「OBI治療」を受けられる医院です。難易度の高い技術のため世界的に習得者が少なく、院長の菊地は日本全国の歯科医師に指導もしています。1本の虫歯から全顎症例、小児矯正まで最先端の噛み合わせ技術を駆使して長期的に歯を守ります。→詳しくはこちら

一般的な歯周病治療は歯茎の奥までグリグリと器具(刃物)を入れ、血を流し、歯を傷つけながら処置をします。実は、歯科先進国ではこの方法は時代遅れです。既に欧米では痛くなく、歯を傷つけず歯周病を治癒しています。当院ではこの北欧式の痛くない、安全な歯周病治療・予防を行っています。→詳しくはこちら

日本矯正歯科学会の認定医が所属して小児・成人の矯正治療に対応しています。症例によりIDB(インダイレクトボンディングシステム)という最新治療もご提案しています。歯と顔貌が美しくなるのは当たり前。後戻りせず、生涯に渡り歯の健康と寿命を守る矯正治療をモットーとしています。→詳しくはこちら
News
Medical Examination Subject
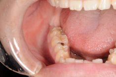
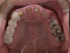
口腔内の状態に加え、顎の骨や筋肉の動きを総合的に判断し、最適な噛み合わせの位置を探しています。当院では、アメリカのOBI(Occlusion-Based Indicator)という噛み合わせ専門のアプローチを採用しています。院長は世界に約200人しかいないOBI治療医の一人です。矯正・インプラントの失敗やホワイトニングの戻りは、多くの場合、噛み合わせが原因です。
詳しくはこちら
歯を白く美しくすることで笑顔に自信を持っていただけます。噛み合わせが悪いとホワイトニングの効果が不完全になることがあります。まず噛み合わせを治療し、歯の健康を整えた上でホワイトニングを行うことが最も効果的です。
詳しくはこちら
当院では、従来の専門医による矯正治療と院長によるインダイレクトボンディングシステムの両方を提供します。噛み合わせが悪いと、矯正後の歯が戻りやすくなるため、噛み合わせの治療と適切なアフターケアが重要です。
詳しくはこちら
当院では北欧式の歯周治療・予防システムを導入しています。噛み合わせが悪いとプラークの蓄積や炎症が悪化し、予防や治療が難しくなるため、まず噛み合わせを治療することが重要です。
詳しくはこちら
当院にはインプラントが抜ける等の問題を抱えた患者様が多く来院されます。その主な原因は「噛み合わせ」にあります。噛み合わせが悪いと力が不均一になり、インプラントが安定しません。成功にはまず噛み合わせの治療が重要です。
詳しくはこちら
入れ歯治療は、失われた歯を補うだけでなく、口腔機能の回復・改善を目指す歯科治療です。義手や義足と同じようにリハビリが必要であり、歯科医院での継続的なサポートが重要です。特に、噛み合わせの調整は治療の成否を左右します。
詳しくはこちら

見学時間は30分ほどです。
診療日のお昼にご希望の日に合わせて開催いたします。
以下の内容を予定しております。
面接等は行いませんのでどうぞお気軽にお申し込み下さい。
電話番号:0436-43-8241
担当菊地まで。

明るい未来は「開業」だけじゃない!フローラデンタルクリニックでは、あなただけのキャリアプランを応援します。
一般診療、専門がある場合は、専門メインの診療も可能です。
| 給与(常勤) | 研修期間:50万円(1年間) その後3年間:60万円 〜(能力に応じて歩合制) 必要なセミナー、研修費用は補助いたします。 |
|---|---|
| 給与(非常勤) | 日給 3.2万円 (試用期間:2.5万円) 時給 4,000円 (試用期間:3,000円) 能力に応じて歩合制、昇給も考慮します。掲載は最低保証です。 試用期間:3ヶ月。週1日からOKです。勤務時間も相談可能です。 |
| 交通費 | 2万円まで |
| 制服 | 制服貸あり |
| 休診日 | 水曜日、日曜日、祝日 |

世界最先端・北欧スタイルの歯周病治療・予防を習得できます!
新卒でも安心して身に付けられます!資格取得も支援。
本当に「治せる」「守れる」歯科衛生士になりませんか?
| 給与(新卒) | 26万 |
|---|---|
| 交通費 | 2万円まで |
| 制服 | 制服貸あり |
| 休診日 | 水曜日、日曜日、祝日 |
フローラデンタルクリニックでは歯科衛生士専門学校の学生さんのバイトを募集しております。
勤務日数、時間も合わせることが可能です。
学生時代から勤務するメリット
・将来、歯科衛生士としての活躍するための知識、スキルがいち早く習得できます。今後、勤務する職場選びの参考になります。
(参考例)
給与の高い歯科医院で勤務するメリット、デメリット
早く帰宅できる歯科医院のメリット、デメリット
当院でバイトするメリット
・海外の高水準の治療を提供しているため、学校、臨床実習では学べない範囲のことを知ることができます。| 時給 | 1,500円〜 |
|---|---|
| 交通費 | 2万円まで |
| 制服 | 制服貸あり |
| 休診日 | 水曜日、日曜日、祝日 |

歯科に特化した管理栄養士の育成、新しい管理栄養士さんの価値を創造します。
「治療説明のプロフェッショナル」を目指すことができます。
治療の説明を専門にするこの職種は海外では当たり前で、確かな価値のある仕事です。
| 給与 | 23万円〜(固定残業代を含まない) |
|---|---|
| 交通費 | 交通費支給(上限2万円)、講習会補助費用あり、住居を移動される場合は住宅手当(2万円)になります。 |
| 制服 | 制服貸あり |
| 休診日 | 水曜日、日曜日、祝日 |
アメリカの最高修復機関、OBIを知るきっかけとなり、顎関節、かみ合わせの改善から、口腔機能(呼吸、咀嚼、嚥下、発音)、顔貌さえも本来あるべき状態に改善・回復できるバイオエステティックスという治療を自分自身が習得するまでサポートしてくださった歯科医です。
神奈川県座間市で小清水歯科医院を開業されているDr.小清水は、日本で自分を含めて3名しかいない、バイオエステティックスを習得し、実践されている歯科医の一人です。
バイオエステティックスを日本に広めるべく、自分と共にOBI JAPANのファカルティ(指導者)として後進の育成にも力を注いでいます。自分自身の歯科医としての人生に大きな影響を与えてくれた師であり、メンターです。
また、バイオエステティックスだけでなく、矯正分野のインダイレクトボンディングシステムという、本質を伴った矯正治療を教えてくださった歯科医でもあります。
もし、フローラデンタルやセオリツデンタルに通えないというお知り合いの方がいらしたら、ぜひ小清水歯科医院を紹介していただければと思います。